Intervento protesico ad anca o ginocchio. Intervista al dottor Simone Gatti ortopedico della Clinica Diagnostica di Carnate
Messaggio promozionale
L’intervento protesico al ginocchio o all’anca è indicato quando le terapie conservative come le infiltrazioni, le terapie fisiche e farmacologiche non sono più efficaci e la qualità della vita della persona risulta compromessa.
L’operazione chirurgica offre il recupero delle funzionalità e il ritorno a una vita normale, indipendentemente dall’età anagrafica.
Alla Clinica Diagnostica di Carnate presta la sua consulenza il Dr. Simone Luigi Martino Gatti, ortopedico responsabile del centro Prometeo di alta specialità chirurgica protesica di anca e ginocchio dell’Istituto Clinico San Siro di Milano IRCCS.

Quali sono i segnali che portano il paziente a rivolgersi all’ortopedico, in prospettiva di una protesi di ginocchio e anca?
Il dolore localizzato a livello di bacino, anca o ginocchio rappresenta uno dei motivi più frequenti che inducono il paziente a rivolgersi al medico.
Tutte le condizioni che compromettono la mobilità e la qualità di vita della persona devono essere attentamente considerate. Tra queste rientrano la difficoltà nel salire le scale, l’impossibilità di effettuare autonomamente una passeggiata e la presenza di limitazioni funzionali, instabilità articolare o zoppia, elementi che costituiscono segnali clinicamente rilevanti da riferire allo specialista.
Lo specialista in questi casi prescrive gli approfondimenti per capire quale patologia specifica affrontare, circoscrivere l’area compromessa e individuare l’origine del disturbo.
Per una corretta diagnosi è fondamentale la visita specialistica ortopedica associata agli esami idonei.
Quali sono quindi questi esami diagnostici utili e necessari per avere un quadro clinico esaustivo?
Per formulare una diagnosi corretta e ottenere un quadro clinico completo del paziente, è fondamentale eseguire una radiografia (RX) del bacino o bilaterale ginocchio in carico ovvero in piedi.
A queste indagini possono affiancarsi esami radiografici più specifici, come le proiezioni assiali della rotula e la proiezione di Rosenberg, oltre ad approfondimenti diagnostici mediante tomografia computerizzata (TC) e risonanza magnetica (RM). Tali esami consentono di valutare in modo più dettagliato la patologia, permettendo di definirne con maggiore precisione le caratteristiche e lo stadio evolutivo.
Prima di arrivare all’intervento quali altre tecniche o cure si possono introdurre per il paziente? E nel caso in cui la persona non possa essere operabile?
Lo specialista, fatte le dovute valutazioni, sottopone il paziente a particolari trattamenti che siano efficaci sul dolore. Si può intervenire con infiltrazioni con acido ialuronico, con plasma PRP (che consiste nel prelievo di sangue centrifugato, rimesso in articolazione) fino ad arrivare alle infiltrazioni con cellule staminali.
Il movimento risulta sempre fondamentale per mantenere la muscolatura e le articolazioni attive e toniche e questo si può ottenere con sedute di fisioterapia o attività come ciclismo e nuoto.
Quando il paziente non è più in grado di camminare a causa dell’artrosi, tutte le altre opzioni vengono meno ed è necessario ricorrere all’operazione. In questi casi, l’intervento chirurgico rappresenta l’unica soluzione possibile per migliorare la qualità della vita.

Quando l’intervento chirurgico non è più rinviabile?
Non esistono soluzioni alternative all’intervento chirurgico ma solo cure palliative che, a un certo punto, diventano inefficaci. Usura dell’arto, eventi traumatici, obesità e famigliarità sono alcune delle condizioni che portano inesorabilmente all’operazione.
Fallite le terapie conservative (infiltrazioni, terapie fisiche, laserterapia, magnetoterapia, ultrasuoni, fisioterapia..) e raggiunto il limite della somministrazione di antinfiammatori, la vita del paziente non è più una vita normale perché presenta limitazioni, dolore persistente e la chirurgia emerge come unica e ultima opzione possibile.
Serve una preparazione specifica all’intervento?
La fisioterapia svolge un ruolo fondamentale sia nella fase che precede l’intervento chirurgico, sia in quella successiva. Il supporto fisioterapico rappresenta una componente essenziale del percorso di cura, contribuendo in modo significativo al successo dell’operazione e al recupero del paziente.
La preparazione del paziente all’intervento chirurgico è cruciale e deve essere effettuata compatibilmente con le invalidità e le limitazioni individuali. Tale fase viene gestita direttamente in clinica da specialisti, che si occupano di valutare le condizioni del paziente e di predisporre un programma personalizzato.
Questo processo può essere paragonato alla preparazione per una gara: il paziente deve presentarsi all’intervento con una muscolatura tonica, condizione che favorisce una migliore risposta nel periodo post-operatorio. La tonicità muscolare è importante anche perché, dopo l’operazione, sarà necessario ricorrere a specifici ausili per la mobilità e la funzionalità.
L’allenamento svolto prima della chirurgia permette al paziente di affrontare con maggiore preparazione la fase di recupero, facilitando il ripristino delle funzionalità e riducendo i tempi di riabilitazione. Grazie a un percorso fisioterapico mirato, il paziente risulta già predisposto ad affrontare le sfide della fase post-operatoria, beneficiando di un recupero più efficace e strutturato.
In cosa consiste l’intervento?
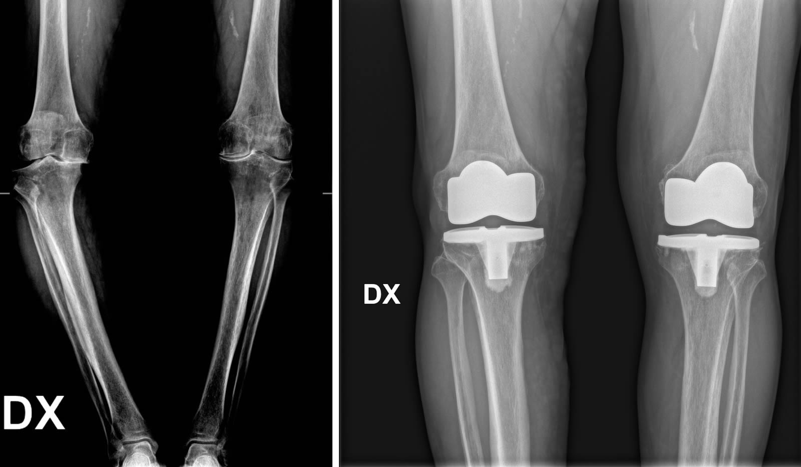
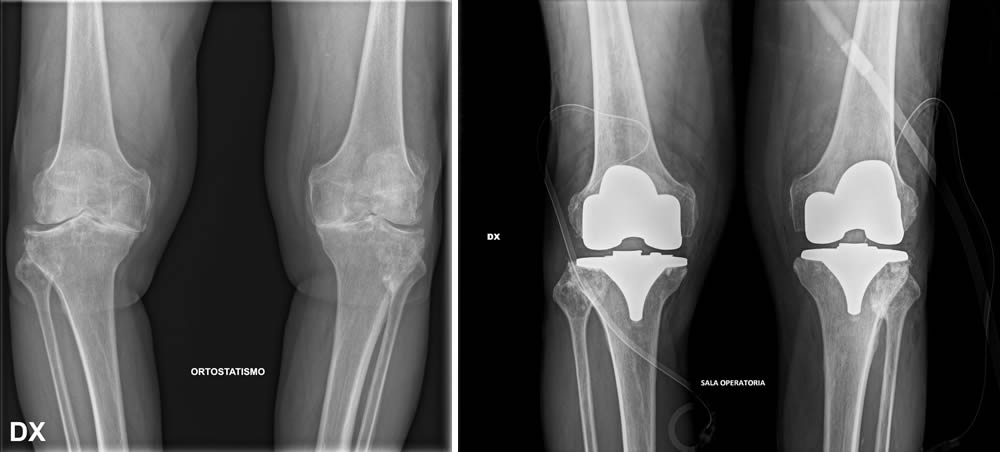
Nel caso in cui sia necessario ricorrere a una protesi dell’anca, il chirurgo procede alla sostituzione dell’articolazione compromessa. Questo intervento ha come principale obiettivo quello di restituire alla persona la possibilità di condurre una vita normale. Grazie alla nuova articolazione, il paziente può tornare a camminare e a muoversi senza provare dolore, ritrovando così la libertà di movimento e la qualità della vita precedenti all'insorgenza del problema.
Quando si prende in considerazione la protesi al ginocchio, si aprono diverse possibilità di intervento. È possibile optare per soluzioni mini-invasive che prevedono l'inserimento di protesi monocompartimentali, adatte a sostituire solo una parte dell'articolazione, oppure per protesi parziali o totali, in base alle esigenze e alla gravità della situazione. La scelta dell’intervento viene valutata attentamente dal chirurgo, mirando sempre a garantire il miglior recupero funzionale possibile.
In entrambi i casi, sia per la protesi dell’anca che per quella del ginocchio, l’intervento chirurgico viene generalmente eseguito in anestesia spinale. Questo tipo di anestesia permette un recupero estremamente rapido: già dal giorno successivo all’operazione, il paziente viene riportato in piedi e può assumere una postura eretta, favorendo così una ripresa più veloce e sicura.

Quali sono i tempi di recupero?
La tempistica della ripresa dopo un intervento chirurgico dipende in maniera significativa dalla tipologia del paziente e dalla sua storia clinica. La riabilitazione inizia già dal primo giorno successivo all’operazione, quando il paziente è incoraggiato a camminare. In molti casi, dopo una o due settimane, la persona può essere in grado di abbandonare le stampelle. Tuttavia, in altre situazioni, il processo può richiedere più di un mese.
Analogamente, il ritorno alla guida e la valutazione della ripresa delle attività quotidiane senza ausili sono strettamente legati alle condizioni individuali del paziente. Pertanto, ogni caso deve essere valutato con attenzione e in modo personalizzato.
Trascorsi quaranta giorni dall’intervento, è previsto un controllo clinico specialistico per verificare che il decorso sia positivo e che il paziente stia gradualmente tornando alla vita normale.
C’è un’età limite per l’intervento chirurgico?
Rispetto al passato, si osserva un aumento significativo del numero di giovani sottoposti a interventi chirurgici a seguito di eventi traumatici. Parallelamente, anche i cosiddetti “grandi anziani” vengono oggi presi in carico per procedure chirurgiche che in passato sarebbero state considerate troppo rischiose o addirittura impensabili. Questo cambiamento riflette un’evoluzione nell’approccio medico, che si adatta alle nuove esigenze della popolazione e ai progressi della medicina.
Un concetto centrale nell’attuale pratica clinica è che non è tanto l’età anagrafica, quanto quella biologica a fare la differenza nella valutazione della possibilità di sottoporre una persona a un intervento. In altre parole, ciò che conta davvero è lo stato di salute complessivo dell’individuo, la sua resilienza fisica e la presenza o meno di altre patologie, piuttosto che il semplice dato anagrafico.
In questo contesto, la valutazione dello specialista risulta fondamentale. È infatti lo specialista che, attraverso un’attenta analisi dello stato generale della persona, può determinare se e come procedere con l’intervento. Questa valutazione globale consente di adattare il percorso terapeutico alle reali condizioni del paziente, garantendo così interventi più sicuri ed efficaci.
Clinica Diagnostica Dott. Lorenzo Trezza
Via Volta 31A/35A, Carnate (MB)
Phone +39 039.672488
E-mail: info@clinicadiagnostica.it
www.clinicadiagnostica.it/
L’operazione chirurgica offre il recupero delle funzionalità e il ritorno a una vita normale, indipendentemente dall’età anagrafica.
Alla Clinica Diagnostica di Carnate presta la sua consulenza il Dr. Simone Luigi Martino Gatti, ortopedico responsabile del centro Prometeo di alta specialità chirurgica protesica di anca e ginocchio dell’Istituto Clinico San Siro di Milano IRCCS.

Quali sono i segnali che portano il paziente a rivolgersi all’ortopedico, in prospettiva di una protesi di ginocchio e anca?
Il dolore localizzato a livello di bacino, anca o ginocchio rappresenta uno dei motivi più frequenti che inducono il paziente a rivolgersi al medico.
Tutte le condizioni che compromettono la mobilità e la qualità di vita della persona devono essere attentamente considerate. Tra queste rientrano la difficoltà nel salire le scale, l’impossibilità di effettuare autonomamente una passeggiata e la presenza di limitazioni funzionali, instabilità articolare o zoppia, elementi che costituiscono segnali clinicamente rilevanti da riferire allo specialista.
Lo specialista in questi casi prescrive gli approfondimenti per capire quale patologia specifica affrontare, circoscrivere l’area compromessa e individuare l’origine del disturbo.
Per una corretta diagnosi è fondamentale la visita specialistica ortopedica associata agli esami idonei.
Quali sono quindi questi esami diagnostici utili e necessari per avere un quadro clinico esaustivo?
Per formulare una diagnosi corretta e ottenere un quadro clinico completo del paziente, è fondamentale eseguire una radiografia (RX) del bacino o bilaterale ginocchio in carico ovvero in piedi.
A queste indagini possono affiancarsi esami radiografici più specifici, come le proiezioni assiali della rotula e la proiezione di Rosenberg, oltre ad approfondimenti diagnostici mediante tomografia computerizzata (TC) e risonanza magnetica (RM). Tali esami consentono di valutare in modo più dettagliato la patologia, permettendo di definirne con maggiore precisione le caratteristiche e lo stadio evolutivo.
Prima di arrivare all’intervento quali altre tecniche o cure si possono introdurre per il paziente? E nel caso in cui la persona non possa essere operabile?
Lo specialista, fatte le dovute valutazioni, sottopone il paziente a particolari trattamenti che siano efficaci sul dolore. Si può intervenire con infiltrazioni con acido ialuronico, con plasma PRP (che consiste nel prelievo di sangue centrifugato, rimesso in articolazione) fino ad arrivare alle infiltrazioni con cellule staminali.
Il movimento risulta sempre fondamentale per mantenere la muscolatura e le articolazioni attive e toniche e questo si può ottenere con sedute di fisioterapia o attività come ciclismo e nuoto.
Quando il paziente non è più in grado di camminare a causa dell’artrosi, tutte le altre opzioni vengono meno ed è necessario ricorrere all’operazione. In questi casi, l’intervento chirurgico rappresenta l’unica soluzione possibile per migliorare la qualità della vita.

Prima e dopo l'intervento
Quando l’intervento chirurgico non è più rinviabile?
Non esistono soluzioni alternative all’intervento chirurgico ma solo cure palliative che, a un certo punto, diventano inefficaci. Usura dell’arto, eventi traumatici, obesità e famigliarità sono alcune delle condizioni che portano inesorabilmente all’operazione.
Fallite le terapie conservative (infiltrazioni, terapie fisiche, laserterapia, magnetoterapia, ultrasuoni, fisioterapia..) e raggiunto il limite della somministrazione di antinfiammatori, la vita del paziente non è più una vita normale perché presenta limitazioni, dolore persistente e la chirurgia emerge come unica e ultima opzione possibile.
Serve una preparazione specifica all’intervento?
La fisioterapia svolge un ruolo fondamentale sia nella fase che precede l’intervento chirurgico, sia in quella successiva. Il supporto fisioterapico rappresenta una componente essenziale del percorso di cura, contribuendo in modo significativo al successo dell’operazione e al recupero del paziente.
La preparazione del paziente all’intervento chirurgico è cruciale e deve essere effettuata compatibilmente con le invalidità e le limitazioni individuali. Tale fase viene gestita direttamente in clinica da specialisti, che si occupano di valutare le condizioni del paziente e di predisporre un programma personalizzato.
Questo processo può essere paragonato alla preparazione per una gara: il paziente deve presentarsi all’intervento con una muscolatura tonica, condizione che favorisce una migliore risposta nel periodo post-operatorio. La tonicità muscolare è importante anche perché, dopo l’operazione, sarà necessario ricorrere a specifici ausili per la mobilità e la funzionalità.
L’allenamento svolto prima della chirurgia permette al paziente di affrontare con maggiore preparazione la fase di recupero, facilitando il ripristino delle funzionalità e riducendo i tempi di riabilitazione. Grazie a un percorso fisioterapico mirato, il paziente risulta già predisposto ad affrontare le sfide della fase post-operatoria, beneficiando di un recupero più efficace e strutturato.
In cosa consiste l’intervento?
Nel caso in cui sia necessario ricorrere a una protesi dell’anca, il chirurgo procede alla sostituzione dell’articolazione compromessa. Questo intervento ha come principale obiettivo quello di restituire alla persona la possibilità di condurre una vita normale. Grazie alla nuova articolazione, il paziente può tornare a camminare e a muoversi senza provare dolore, ritrovando così la libertà di movimento e la qualità della vita precedenti all'insorgenza del problema.
Quando si prende in considerazione la protesi al ginocchio, si aprono diverse possibilità di intervento. È possibile optare per soluzioni mini-invasive che prevedono l'inserimento di protesi monocompartimentali, adatte a sostituire solo una parte dell'articolazione, oppure per protesi parziali o totali, in base alle esigenze e alla gravità della situazione. La scelta dell’intervento viene valutata attentamente dal chirurgo, mirando sempre a garantire il miglior recupero funzionale possibile.
In entrambi i casi, sia per la protesi dell’anca che per quella del ginocchio, l’intervento chirurgico viene generalmente eseguito in anestesia spinale. Questo tipo di anestesia permette un recupero estremamente rapido: già dal giorno successivo all’operazione, il paziente viene riportato in piedi e può assumere una postura eretta, favorendo così una ripresa più veloce e sicura.

Quali sono i tempi di recupero?
La tempistica della ripresa dopo un intervento chirurgico dipende in maniera significativa dalla tipologia del paziente e dalla sua storia clinica. La riabilitazione inizia già dal primo giorno successivo all’operazione, quando il paziente è incoraggiato a camminare. In molti casi, dopo una o due settimane, la persona può essere in grado di abbandonare le stampelle. Tuttavia, in altre situazioni, il processo può richiedere più di un mese.
Analogamente, il ritorno alla guida e la valutazione della ripresa delle attività quotidiane senza ausili sono strettamente legati alle condizioni individuali del paziente. Pertanto, ogni caso deve essere valutato con attenzione e in modo personalizzato.
Trascorsi quaranta giorni dall’intervento, è previsto un controllo clinico specialistico per verificare che il decorso sia positivo e che il paziente stia gradualmente tornando alla vita normale.
C’è un’età limite per l’intervento chirurgico?
Rispetto al passato, si osserva un aumento significativo del numero di giovani sottoposti a interventi chirurgici a seguito di eventi traumatici. Parallelamente, anche i cosiddetti “grandi anziani” vengono oggi presi in carico per procedure chirurgiche che in passato sarebbero state considerate troppo rischiose o addirittura impensabili. Questo cambiamento riflette un’evoluzione nell’approccio medico, che si adatta alle nuove esigenze della popolazione e ai progressi della medicina.
Un concetto centrale nell’attuale pratica clinica è che non è tanto l’età anagrafica, quanto quella biologica a fare la differenza nella valutazione della possibilità di sottoporre una persona a un intervento. In altre parole, ciò che conta davvero è lo stato di salute complessivo dell’individuo, la sua resilienza fisica e la presenza o meno di altre patologie, piuttosto che il semplice dato anagrafico.
In questo contesto, la valutazione dello specialista risulta fondamentale. È infatti lo specialista che, attraverso un’attenta analisi dello stato generale della persona, può determinare se e come procedere con l’intervento. Questa valutazione globale consente di adattare il percorso terapeutico alle reali condizioni del paziente, garantendo così interventi più sicuri ed efficaci.
Clinica Diagnostica Dott. Lorenzo Trezza
Via Volta 31A/35A, Carnate (MB)
Phone +39 039.672488
E-mail: info@clinicadiagnostica.it
www.clinicadiagnostica.it/




















